南京优嘉病毒疣医学研究所 /男性湿疣 /女性湿疣 /生殖器疣 /HPV病毒 /挖空细胞 /尖锐湿疣 /寻常疣 /扁平疣 /丝状疣 /病毒疣
当前位置:网站首页 > 挖空细胞 > 正文

感染什么病毒才会有挖空细胞

挖空细胞

  有一些女性朋友在做妇科检查或病理活检的时候,拿到报告后一看,自己也不是很清楚意思:可见挖空细胞。那么,究竟什么样的病毒才会有可见挖空细胞呢?下面我们具体来分析一下。
  
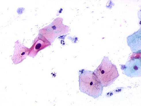
  临床上,生殖器或肛周等部位出现赘生物,通过医院病理检查发现有挖空细胞或空泡细胞,亦或是凹空细胞等结果,即诊断为尖锐湿疣病变。它是由人类乳头瘤病毒引起的皮肤黏膜组织损害,主要通过性接触感染他人,属于性传播疾病。
  
  因此,一旦检查报告有挖空细胞,建议当事人要禁止性生活,同时伴侣也需要接受检查,避免已被感染自己却不知。另外,针对挖空细胞的治疗上,目前有很多方法,但多数是治标不治本,复发率很高。通过我国中医药研究组的多年临床经验和实践,终于找到了标本兼治的良方——2011101665723号国家发明专利中医组方,对外阴尖锐湿疣、腔道内尖锐湿疣,以及巨大型尖锐湿疣的治疗效果都特别显著,治好的可能性达到了高(国家知识产权局可查),是治好尖锐湿疣的最好方法。一般普通不严重的病情,一个多月康复,并不会再复发。
  
  温馨提醒:尖锐湿疣并不是绝症,只要发现及时并采取正确的方法进行治疗,都是可以康复的。在此,小编祝大家家庭和睦,幸福健康!

南京优嘉病毒疣医学研究所www.hpv111.com)提醒:网站信息仅供参考,不作为临床诊疗依据!

最近更新

男性湿疣女性湿疣HPV感染挖空细胞

点击排行

NO.1 女性真假尖锐疣体图文鉴别有些女性本身没有过不洁性接触史,甚至有的都没有过性经历,这类女性朋友感染上尖锐湿疣等性传播疾病的几率是非常低的。而她们有时候也会发...